Table of Contents
For patients experiencing severe tooth loss and advanced bone resorption, traditional dental implant treatments are not always possible. This is where understanding the Zygomatic Implants Cost in Turkey becomes essential not only for planning your treatment but also for exploring advanced alternatives that can restore your smile without complex bone grafting procedures. Thanks to modern zygomatic dental implants, patients with limited bone structure can now achieve fixed, natural-looking teeth.
Turkey, especially Antalya, has become a leading destination for this advanced procedure. Patients considering Zygomatic Implants in Antalya often compare this solution with options like All-on-4, All-on-6, full mouth restorations, and conventional dental implants to determine the most suitable treatment for their needs. The combination of experienced specialists, modern clinics, and cost-effective pricing makes Turkey a preferred choice for international patients.
In this comprehensive guide, you will find everything you need to know about zygomatic implants cost, including the procedure, recovery time, benefits, and what to expect throughout your treatment journey. If you are looking for a reliable solution to regain both function and aesthetics even in cases of significant bone loss this guide will help you take the first step with confidence.
Get a Free Consultation
Send us your dental X-ray or photos and get a personalized treatment plan with exact pricing for zygomatic implants in Turkey. Our expert team will review your case and guide you step by step completely free and with no obligation.
What Are Zygomatic Dental Implants?
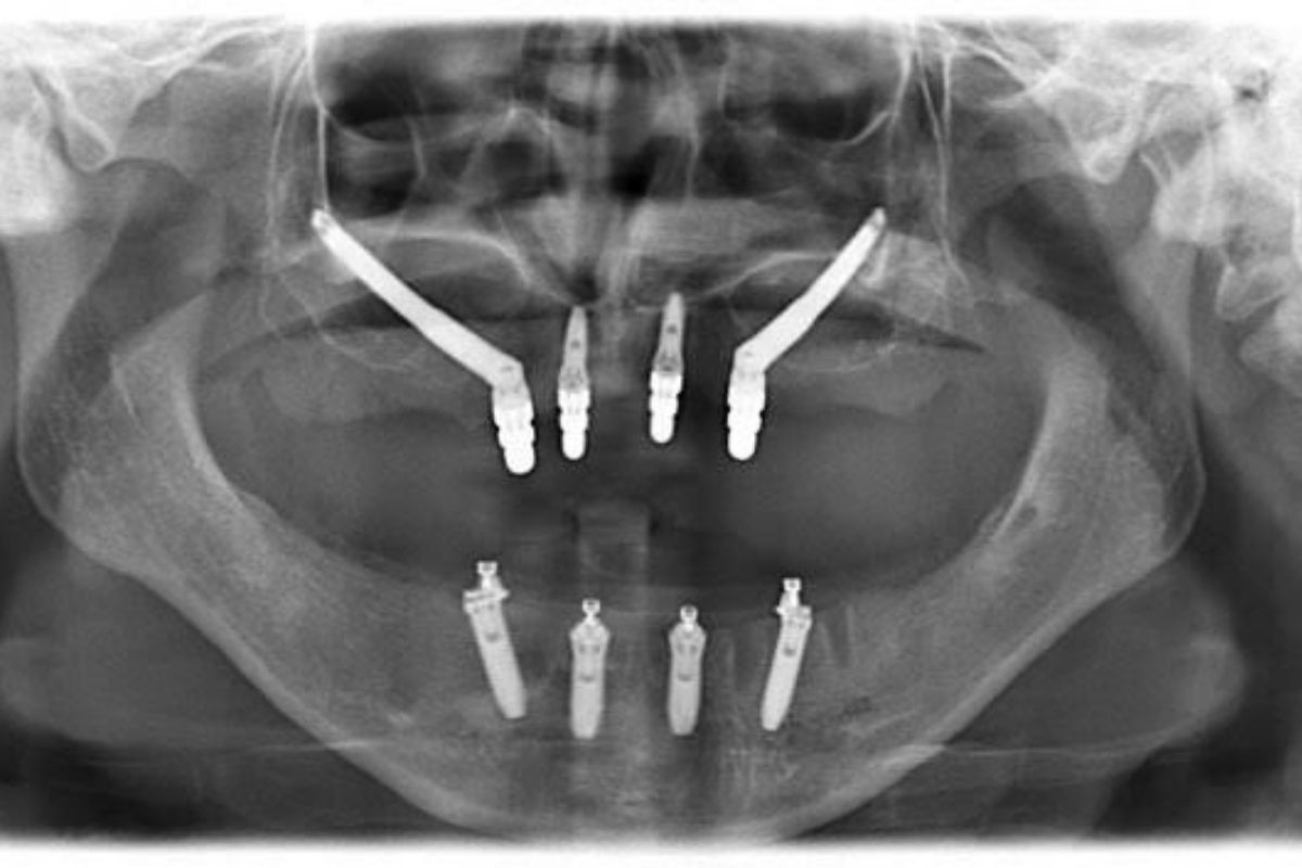
Zygomatic dental implants are a specialized type of implant designed for patients who have experienced significant bone loss in the upper jaw. Unlike traditional dental implants that are placed directly into the jawbone, zygomatic implants are anchored in the cheekbone (zygoma), which has a denser and more stable structure. This makes them an effective solution for patients who have been told they are not suitable candidates for standard implant procedures due to insufficient bone volume.
When asking what are zygomatic implants, it’s important to understand that they are longer than conventional implants and are used in more complex cases. Traditional dental implants typically require adequate bone density or additional procedures like bone grafting or sinus lifts. In contrast, zygomatic bone implants eliminate the need for these extra surgeries, allowing for a faster and more streamlined treatment process often with immediate fixed teeth.
For patients with advanced bone loss, zygomatic implants offer a reliable and life-changing alternative. They are frequently used in full mouth restorations, including treatments like All-on-4, All-on-6, and complete full mouth dental implants. This approach not only restores function and aesthetics but also provides long-term stability, making it one of the most preferred solutions for complex dental cases.
Who Is a Good Candidate for Zygomatic Implants?
Zygomatic implants are primarily recommended for patients who have experienced advanced bone loss in the upper jaw and are no longer suitable for traditional dental implants. In many cases, patients are told they need bone grafting or sinus lift procedures before receiving implants. However, with zygomatic dental implants, these additional surgeries can often be avoided, making treatment faster, less invasive, and more predictable.
Patients who have previously undergone unsuccessful implant treatments are also strong candidates for this procedure. Failed implants due to insufficient bone support can be effectively corrected using zygomatic implants, as they are anchored in the stronger cheekbone. This makes them an excellent solution for complex cases, especially when restoring a full arch with options like All-on-4, All-on-6, or full mouth dental implants.
Zygomatic implants are also ideal for patients who prefer to avoid sinus lift surgery or extensive bone grafting. However, not every patient is suitable for this treatment. Individuals with certain medical conditions, poor oral hygiene, or inadequate overall health may require additional evaluation. A detailed clinical assessment, including 3D imaging, is essential to determine whether zygomatic implant treatment is the safest and most effective option for each individual.
Zygomatic Implants Surgery: Step-by-Step Process
The journey begins with a detailed consultation and advanced 3D imaging, such as a CT scan, to evaluate bone structure and overall oral health. This stage is crucial for understanding whether zygomatic implants are the right solution and for identifying the best placement points in the cheekbone. Based on these findings, a personalized treatment plan is created, often comparing options like All-on-4, All-on-6, full mouth restorations, and traditional dental implants to ensure the most suitable approach for the patient.
During the zygomatic implants surgery, longer implants are carefully placed into the zygomatic (cheek) bone instead of the jawbone. The procedure is typically performed under sedation or general anesthesia to ensure maximum comfort. Because the cheekbone provides strong support, additional procedures such as bone grafting or sinus lifts are usually not required. One of the biggest advantages is that many patients can receive temporary fixed teeth on the same day commonly referred to as “teeth in one day” allowing them to leave the clinic with a functional and aesthetic smile.
The duration of the procedure depends on the complexity of the case, but it generally takes a few hours to complete. After surgery, patients are given detailed aftercare instructions and a recovery plan. While the initial healing phase begins immediately, the final prosthetic teeth are typically placed after a few months, once full integration has occurred. This structured and efficient process makes zygomatic implant treatment in Turkey a reliable and time-saving solution for patients seeking long-term results.
Zygomatic Implants in Antalya: Why Patients Choose Turkey
Antalya has become one of the leading destinations for advanced dental treatments, especially for procedures like Zygomatic Implants in Antalya. One of the main reasons international patients choose Turkey is the combination of high-quality care and cost-effective pricing. Compared to countries like the UK or the US, patients can significantly reduce their zygomatic implants cost while still receiving treatment that meets international standards. In addition, the well-developed health tourism infrastructure makes the entire journey smooth, from airport transfers to accommodation and clinic coordination.
Another key factor is the presence of highly experienced surgeons who specialize in complex procedures such as zygomatic implants surgery. These treatments require advanced skills and precise planning, and Turkey has become known for its expertise in full mouth restorations, including All-on-4, All-on-6, and other full arch solutions. Clinics in Antalya are equipped with modern technology such as 3D imaging systems, digital smile design, and state-of-the-art surgical tools, ensuring both safety and predictable outcomes.
At Soraca Med, the patient experience goes beyond just the treatment itself. International patients receive comprehensive care packages that often include hotel accommodation, VIP transfers, medications, and multilingual support throughout the process. From the first online consultation to post-treatment follow-up, every step is designed to be comfortable, transparent, and patient-focused. This holistic approach is why so many patients choose Antalya not only for affordability, but for trust, expertise, and a seamless treatment journey.
göre fiyatlar değişlik göterebilir not olarak belirtirsin.
Zygomatic Implants Cost in Turkey (Detailed Breakdown)
When researching the Zygomatic Implants Cost in Turkey, one of the biggest advantages patients notice is the affordability compared to many European countries. In general, the cost of zygomatic dental implants starts from €1500 per implant. However, it’s important to understand that this is a starting price. The final cost may vary depending on the patient’s bone structure, the complexity of the case, and whether a full mouth restoration is required.
The total treatment cost also depends on whether a single implant or a full arch solution is needed. In more advanced cases, patients may require quad zygomatic implants, which involve placing four zygomatic implants to support a full upper jaw restoration. This type of treatment is often combined with solutions like All-on-4, All-on-6, or full mouth dental implants, providing a complete and stable set of fixed teeth in a shorter timeframe.
Compared to countries like the UK, where the zygomatic implants UK cost can be significantly higher, Turkey offers the same advanced treatments at a much more accessible price point. Below is a general comparison to help patients better understand the difference:
| Treatment Type | Turkey Starting Price | UK Average Price |
| Single Zygomatic Implant | €1500 | €4000 – €6000 |
| Quad Zygomatic Implants (Full Arch) | €6000 – €12,000+ | €20,000 – €40,000+ |
| Full Mouth Restoration | €8000 – €15,000+ | €25,000 – €50,000+ |
Note: All prices are starting estimates. The final cost of zygomatic implants may vary from patient to patient depending on clinical needs, additional procedures, and the chosen treatment plan. A detailed consultation and 3D evaluation are required for an accurate quote.
Why Are Zygomatic Implants Cheaper in Turkey?
One of the main reasons behind the lower Zygomatic Implants Cost in Turkey is the favorable exchange rate. For international patients, especially those coming from the UK or Europe, the difference in currency value makes high-quality treatments much more affordable. This allows patients to access advanced procedures like zygomatic implants surgery at a fraction of the cost they would typically pay in their home countries.
Operational costs in Turkey are also significantly lower. Expenses such as clinic maintenance, staff salaries, and laboratory fees are more economical compared to Western countries. Despite these lower costs, clinics maintain high medical standards, modern technology, and strict hygiene protocols. This means patients receive the same level of care and expertise, but at a more accessible price point.
Additionally, Turkey actively supports health tourism through various government incentives and investments in medical infrastructure. This has helped create a competitive environment where clinics can offer premium treatments at reduced costs. As a result, patients benefit from a unique combination of affordability, quality, and comprehensive service packages making Turkey one of the most attractive destinations for zygomatic implant treatment.
Zygomatic Implants vs All-on-4 vs Traditional Dental Implants
Understanding the differences between zygomatic implants, All-on-4, All-on-6, and traditional dental implants is essential when choosing the right treatment. Zygomatic implants are specifically designed for patients with severe bone loss in the upper jaw, as they are anchored in the cheekbone rather than the jawbone. In contrast, All-on-4 and All-on-6 systems rely on existing jawbone density and may require bone grafting if there is insufficient support.
Traditional dental implants are typically placed individually into the jawbone and are ideal for patients with healthy bone structure. However, when bone loss is advanced, these implants may not be suitable without additional procedures. This is where zygomatic implants become a game-changing solution, eliminating the need for bone grafts and offering faster results with immediate loading options.
In summary, the choice depends on the patient’s clinical condition. If there is sufficient bone, All-on-4, All-on-6, or standard full mouth dental implants can be excellent options. However, for patients with significant bone loss or previous implant failures, zygomatic implants provide a more reliable and efficient alternative. A personalized consultation is always the best way to determine which treatment will deliver the safest and most successful outcome.
Are Zygomatic Implants Safe? (Pros and Cons)
A common question patients ask is: are zygomatic implants safe? The answer is yes when performed by experienced surgeons, zygomatic implants surgery is considered a safe and highly effective procedure. These implants have been used successfully for many years, especially in complex cases involving severe bone loss. Thanks to advanced imaging, precise planning, and modern surgical techniques, success rates are very high, often comparable to or even exceeding traditional dental implants in challenging cases.
Like any medical procedure, there are both advantages and considerations. Among the main zygomatic implants pros and cons, the biggest advantage is that they eliminate the need for bone grafting and allow for faster treatment, often with immediate teeth placement. Patients can restore both function and aesthetics quickly, which significantly improves quality of life. On the other hand, the procedure is more complex than standard implants and requires a highly skilled specialist.
In terms of risks, transparency is important. Possible complications may include sinus-related issues, infection, or implant failure, although these are relatively rare when proper protocols are followed. Choosing an experienced clinic and following post-operative instructions carefully greatly reduces these risks. Overall, for patients who are not suitable for traditional implants, zygomatic implants provide a safe, predictable, and life-changing solution.
Zygomatic Implants Recovery Time and Healing Process
Understanding the zygomatic implants recovery time helps patients feel more prepared and confident before treatment. The initial healing phase begins immediately after surgery, and most patients can return to light daily activities within a few days. One of the key benefits is that temporary fixed teeth are often placed on the same day, so patients do not have to experience a period without teeth.
During the first 48 hours, mild swelling and discomfort are normal. These symptoms can be easily managed with prescribed medications and proper care. Patients are usually advised to follow a soft diet, avoid strenuous activities, and maintain good oral hygiene. By the end of the first week, most of the swelling subsides, and patients begin to feel significantly more comfortable.
Over the following weeks and months, the implants gradually integrate with the bone in a process called osseointegration. Around 3 to 4 months later, the final prosthetic teeth are placed for a long-term, stable result. To ensure optimal healing, it is important to attend follow-up appointments and follow all post-treatment guidelines. With proper care, recovery is smooth, and patients can enjoy the full benefits of their new smile.
Zygomatic Implants Before and After
One of the most impressive aspects of zygomatic implants before and after results is the dramatic aesthetic transformation. Patients who previously struggled with missing teeth, sunken facial appearance, or removable dentures can achieve a fuller, more youthful smile. The restoration of facial structure especially in cases of severe bone loss helps improve overall confidence and appearance.
Beyond aesthetics, the functional improvement is equally important. Patients regain the ability to eat comfortably, speak clearly, and enjoy daily life without worrying about loose dentures. Compared to traditional dental implants or removable solutions, zygomatic implants provide a fixed and stable result, similar to natural teeth. This is especially beneficial in full mouth restorations, where long-term durability and comfort are essential.
It is important for patients to have realistic expectations. While results are highly successful, each case is unique and depends on individual anatomy and treatment planning. The goal is always to achieve a natural-looking smile that blends harmoniously with facial features. With modern techniques and careful design, the final outcome is both functional and aesthetically pleasing, giving patients a confident and natural appearance.
How Many Days Do You Need to Stay in Turkey?
The treatment timeline for zygomatic implant treatment in Turkey is designed to be efficient for international patients. Typically, the first visit lasts around 5 to 7 days. During this time, the consultation, 3D imaging, surgical procedure, and placement of temporary fixed teeth (teeth in one day) are completed. Patients can leave Turkey with a functional smile immediately after surgery.
The second visit is usually scheduled after a healing period of approximately 3 to 4 months. This visit generally takes 7 to 10 days, during which the final, permanent teeth are placed. This step ensures long-term durability, optimal aesthetics, and a fully restored bite. Compared to traditional full mouth dental implants, this timeline is often faster and more comfortable.
From arrival to departure, the entire process is carefully managed for patient convenience. Clinics like Soraca Med provide complete packages including hotel accommodation, airport transfers, and personalized support throughout the journey. This structured approach allows patients to focus on their treatment while enjoying a smooth and stress-free experience in Turkey.
Teeth in One Day with Zygomatic Implants: Is It Possible?
Yes one of the biggest advantages of zygomatic dental implants is the possibility of “teeth in one day” through a technique called immediate loading. This means that right after the surgical placement of the implants, patients can receive temporary fixed teeth on the same day. Instead of leaving the clinic without teeth or with removable dentures, patients walk out with a functional and aesthetic smile.
These temporary fixed teeth are carefully designed to provide both comfort and appearance during the healing phase. While they are not the final prosthetics, they allow patients to eat soft foods, speak normally, and maintain their daily social life without interruption. Compared to traditional dental implants, where patients may need to wait months before receiving teeth, this approach significantly improves the overall experience.
From a patient perspective, this offers major advantages. Confidence is restored immediately, the psychological impact of tooth loss is minimized, and the treatment journey becomes much more comfortable. Whether combined with All-on-4, All-on-6, or full mouth restorations, immediate loading with zygomatic implants is a modern solution that prioritizes both speed and patient satisfaction.
Why Choose Soraca Med for Zygomatic Implant Treatment in Turkey
Choosing the right clinic is just as important as choosing the right treatment. At Soraca Med, international patients benefit from a highly organized and patient-focused approach to zygomatic implant treatment in Turkey. From the initial online consultation to the final smile transformation, every step is managed with professionalism, transparency, and attention to detail.
Soraca Med offers comprehensive treatment packages designed specifically for patients traveling from abroad. These typically include hotel accommodation, VIP airport and clinic transfers, medications, and multilingual patient support. This all-in-one approach ensures a stress-free experience, allowing patients to focus entirely on their treatment while everything else is taken care of.
Most importantly, treatments are carried out by an experienced and specialized team using advanced technology and proven techniques. High patient satisfaction, natural-looking results, and long-term success are at the core of the clinic’s philosophy. For patients seeking safe, effective, and affordable solutions for complex cases like zygomatic implants, Soraca Med stands out as a trusted choice in Turkey.
Our Google Reviews
Our Bookimed Reviews
Our Youtube Vieo
FAQ – Zygomatic Implants Cost in Turkey
How Much Do Zygomatic Implants Cost in Turkey?
The Zygomatic Implants Cost in Turkey typically starts from €1500 per implant. However, this is a starting price and may vary depending on the complexity of the case, the number of implants required, and whether a full mouth restoration is planned. For accurate pricing, a personalized consultation and 3D scan are recommended.
Why Are Zygomatic Implants Cheaper in Turkey?
Zygomatic implants are more affordable in Turkey due to lower operational costs, favorable exchange rates, and strong government support for medical tourism. Despite lower prices, clinics maintain high international standards, advanced technology, and experienced surgical teams.
Are Zygomatic Implants Safe?
Yes, zygomatic dental implants are considered safe when performed by experienced specialists. They have high success rates, especially in cases with severe bone loss. As with any surgical procedure, there are risks, but these are minimized with proper planning and post-operative care.
Who Is a Good Candidate for Zygomatic Implants?
Zygomatic implants are ideal for patients with advanced upper jaw bone loss, those who have experienced failed implant treatments, or individuals who want to avoid bone grafting procedures. A full clinical evaluation is necessary to confirm suitability.
How Long Does Recovery Take After Zygomatic Implant Surgery?
Initial recovery usually takes a few days, with most patients returning to normal routines within a week. Full healing and integration of the implants typically take 3 to 4 months, after which permanent teeth are placed.
Can I Get Teeth in One Day with Zygomatic Implants?
Yes, many patients can benefit from “teeth in one day” through immediate loading. Temporary fixed teeth are placed on the same day as surgery, allowing patients to leave the clinic with a functional smile.
How Many Days Do I Need to Stay in Turkey for Zygomatic Implants?
The first visit usually requires 5 to 7 days for consultation, surgery, and temporary teeth placement. A second visit after 3–4 months is needed for final teeth, typically lasting 7 to 10 days.
